2018.12.20
ホワイトニングやってみた!Part2
みなさんこんにちは~にしぢです♪
本日は、ホワイトニングをはじめてから2週間経ったので、前回の続きで検証結果を報告していきたいと思います!
.
早速ですが写真の比較見てみましょう💁♀️
.
【ホワイトニング始める前】

.
【1週間経過時】

.
だいたい1週間ぐらいで周りから白くなったと気付いてもらえました!
→やはり結構即効性がありました!はじめてからすぐ結果が出るとやる気に繋がりました~
.
【2週間経過時】

.
2週間経つと、1週間目に比べてより歯が白に近づきました!
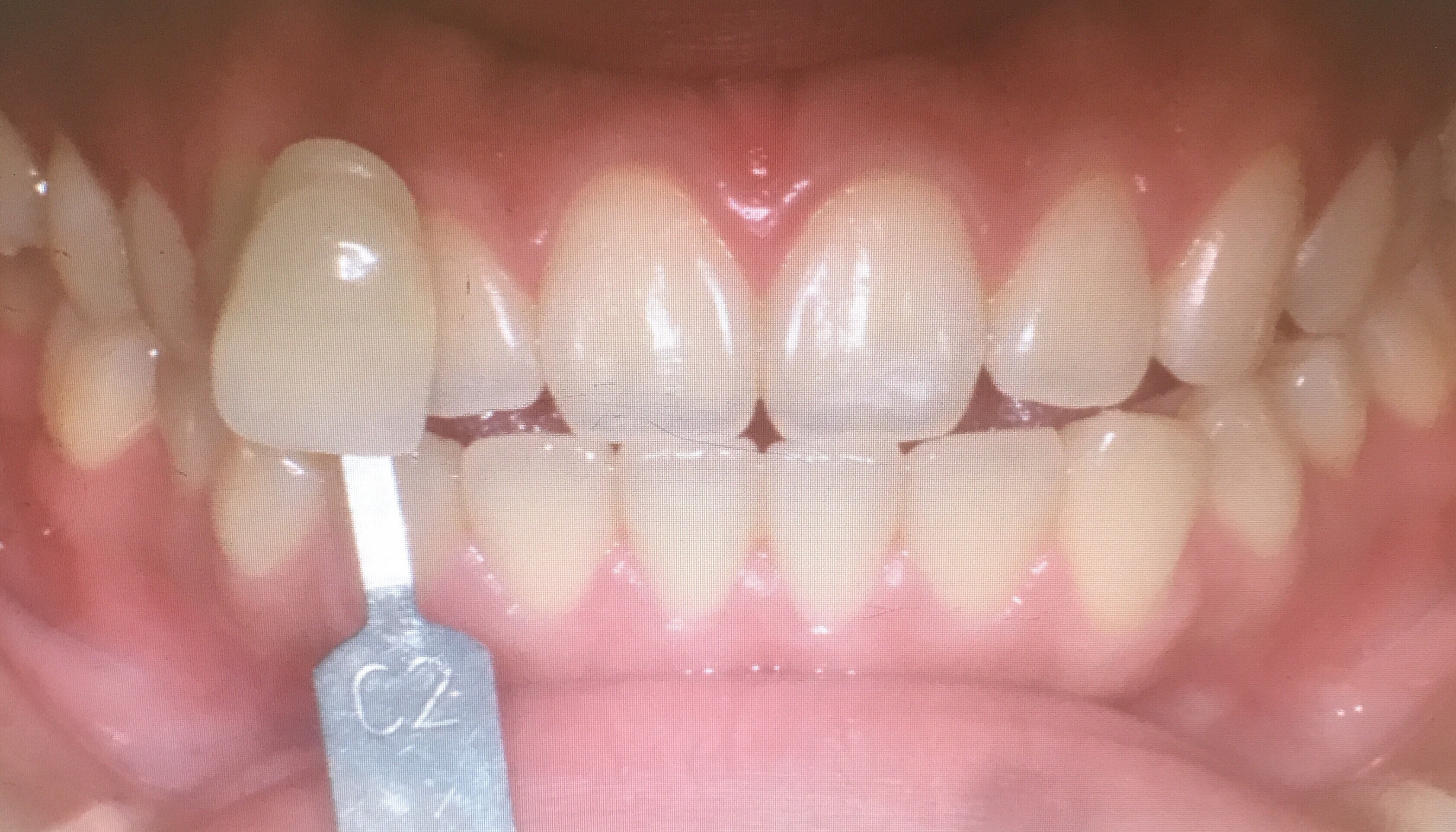
色見本で見てみる...
2週間目 1週間目 はじめる前
↓ ↓ ↓

←明るい →暗い
.
色見本をみても2週間ほどで結構色の差が現れたことがわかります!
.
.
☆今回ホワイトニングをしてみてポイントだと思ったこと☆
●まんべんなく歯全体に薬液をしっかり行き渡らせること
●歯茎のギリギリまで薬液を入れること
●期間を決めて、続けて行うこと(だらだらやったりやらなかったりするのではなく)
●ホワイトニング期間中は、着色しそうな食べ物はなるべく食べないようにすること
.
.
【ホワイトニングを今回やった感想】
歯が白くなったことにより歯を見せて笑った時、清潔感があるように感じられるようになり嬉しく思いました。
2週間行ってみて、一時的に少ししみるかなと感じる時は数回ありましたが、しみてしみて辛いという感じではなかったので継続して続けられて良かったです。
もし、しみる症状がでた場合は、2日ぐらい(しみる症状がなくなってから)またホワイトニングを行うというように間隔を空けて行うと良いと思いました。
またホームホワイトニングは、寝ている間に行うことができるので、時間に制限があってもやりやすかったです。
.
ホワイトニングの効果は人によって個人差はありますが、続けることによって少しずつ白くなっていくことが今回検証できて良かったと思います。みなさんも歯の色でお悩みがある方はぜひぜひお気軽に相談してみて下さいね😊
.
.
にしぢ


